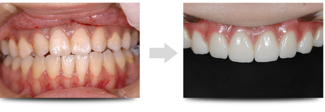
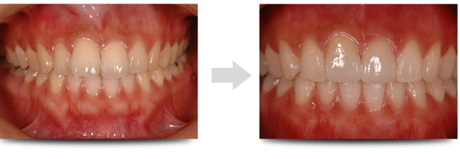
treatment
セラミックの種類
ジルコニアは、「人工ダイヤモンド」とも呼ばれ、セラミックのなかでも一番優れた審美性・耐久性を誇ります。
ジルコニアには身体に優しい素材が用いられており、保険適用の銀歯のように金属イオンが体内に流出する危険性がありません。従来のセラミックのデメリットを克服した素材として、審美歯科治療において最も注目を集めています。
こんな方におススメ!
- 美しくて、強度が強くて耐久性も優れた白い歯を入れたい方
- 前歯を以前メタルボンドにしたが、歯茎が下がって黒い金属色が気になっている方
- オールセラミックにしたいが、歯ぎしりや噛み合わせが強くて割れるかどうか心配な方
- いまある最高品質のセラミックを入れたい方
- ブリッジにする必要があるが、審美的にも強度も優れたものにしたい方
- 金属アレルギーのある方
素材の特徴
ジルコニアの説明をする前に、まずは次の事を知って頂きたいと思います。
セラミックは「総称」であり、使う素材によりその名称は異なる。
例)オールセラミック、メタルボンドセラミック、ハイブリッドセラミックス・・・
審美歯科治療で用いる歯は、「2つの層」からできています。
外側の素材はどれも同じセラミックですが、内側の素材が「ジルコニア」「アルミナ」「金属」と異なります。これにより名称も異なり、「ジルコニア」を使っている場合は、ジルコニアオールセラミック、「アルミナ」の場合は、オールセラミック、「金属」の場合はメタルボンドセラミックという名称となります。
それぞれの特徴を示します。
| 素材 | 特徴 |
|---|---|
| ジルコニア | 美しさ・耐久性に優れる。金属アレルギーが生じない。 |
| アルミナ | ジルコニアには劣るが、美しさ・耐久性に優れ、金属アレルギーが生じない。 |
| 金属 | 金属のため耐久性に優れるが、天然歯のような自然な色合いを出すのが難しく、金属アレルギーの可能性もある。 |
上記の表からわかるように、審美性・耐久性・体への優しさの全てを兼ね備えた素材が「ジルコニア」であるといえます。
・素材の性質上変色しない。
・金属を使っていないため金属アレルギーが生じない。
名称の通り、すべてが「セラミック」でできています。
天然歯のような色合いが出ますので、前歯や小臼歯によく用いられます。
こんな方におススメ!
- 歯並びが悪い
- 天然歯に近い色をした詰め物・かぶせものを入れたい
- 歯が変色してしまった
- 金属アレルギーで悩んでいる
- 歯並びを治したいが、矯正装置を使う治療に抵抗がある
- 短期間で歯並びを整えたい
素材の特徴
内側は「アルミナ」という素材を使っています。天然歯のような色合い、そして強度を持ちますが、ジルコニアほどではありません。昔から使われている代表的な素材です。
・素材の性質上変色しない。
・金属を使っていないため金属アレルギーが生じない。
・過度な力が加わることで欠けてしまう事があるため、奥歯では使えない場合もある。
歯の内側に「金属」を使った、強度(耐久性)を重視したセラミックです。
内側に金属を使用しているため色調や透明感は多少劣りますが、非常に丈夫で長持ちし、奥歯やブリッジなどの強度が求められる部分にはメタルボンドが用いられます。
こんな方におススメ!
- 歯の神経をとってしまって歯が黒ずんできた
- 歯並び、歯の大きさ、形を治したい
- 金属が見えるのが気になる
・天然歯の色合いに近いので美しい。
・時間が経過しても変色しない。
・金属イオンが原因で、歯と歯茎の境目が黒ずむことがある。
・歯の美しさは、ジルコニアセラミックやオールセラミックに劣る。
レジン(歯科用プラスチック)にセラミックの粉末を混ぜた素材です。
レジンは「変色しやすく破損しやすい」という欠点があり、セラミックには「硬すぎる」という欠点がありますが、その両者の欠点をうまくカバーし、それぞれの長所を生かした素材がハイブリッドセラミックスです。
こんな方におススメ!
- 奥歯の金属が目立つのが気になる
- 歯が欠けたところを白い歯でキレイに修復したい
- 以前から入っている詰め物・かぶせものの色が黄色くて目立つので白くしたい
- できるだけ低予算で、白く綺麗な詰め物・かぶせものを入れたい
・天然歯の色合いに近いので美しい。
・金属を使っていないため金属アレルギーが生じない。
・歯の美しさは、ジルコニアセラミックやオールセラミックに劣る。
付け爪をイメージして頂けると分かりやすいかと思います。
歯の表面を薄く削り、薄いセラミックを貼り付ける治療方法となります。芸能人やモデルの方が多く利用する治療方法です。
また、単に歯を白く美しくするだけでなく、歯の隙間を埋めたり、歯の形や歯並びを変えたりすることもできますので、「プチ矯正」として利用される方も多い治療法です。
こんな方におススメ!
- 短期間で軽度の歯並びの修正をしたい
- 歯の色が変色している
- 歯の形が気になる
- 歯と歯の隙間が気になる
・素材の性質上変色しない。
・金属を使っていないため金属アレルギーが生じない。
・噛み合わせなど、過度な力が加わることで、張り付けたセラミックが欠けてしまう事がある。
